
Implantatprothetik
Implantate werden als Ersatz der fehlenden Zähne sehr erfolgreich im Kieferknochen verankert. Auf diesen künstlichen Wurzeln aus Titan oder auch aus Keramik wird der Zahnersatz verankert.

„Sie wollen feste Zähne, kein Implantat!“
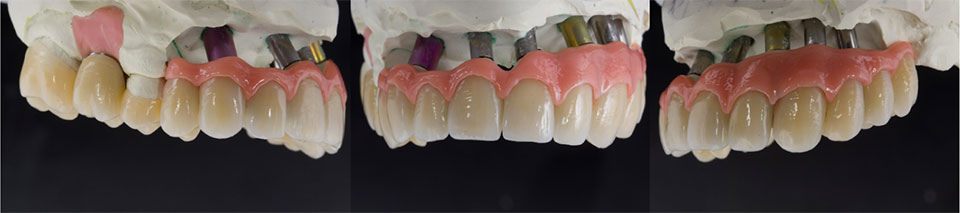
Das beste Implantat ist der eigene Zahn. Künstliche Implantate können fehlende Zähne ersetzen und so kann z. B. ein Beschleifen von gesunden Zähnen vermieden werden. In komplexeren Situationen können Implantate als Unterstützungspfeiler eingesetzt werden, um komfortablen Zahnersatz zu ermöglichen. Beim zahnlosen Kiefer helfen Implantate den festen Zahnersatz zu verankern (z. B. all-on-four Konzept). Das prothetische Konzept gibt also die Anzahl und vor allem die Position der Implantate vor. Vor dem chirurgischen Eingriff zum Einbringen eines oder mehrerer Implantate ist demnach eine intensive Analyse und Besprechung des definitiven Zahnersatzes wichtig. Der chirurgische Eingriff ist dann nur ein Teil des Sanierungskonzeptes. Aus diesem Grund wird für jede zahn- und implantatbasierte Therapie in unserem Haus zu Beginn ein ausführlicher Behandlungsplan erstellt. Hierfür wird von unseren erfahrenen Prothetikspezialistinnen und -spezialisten eine Gesamtplanung erstellt. Das Sanierungskonzept beinhaltet alle vorbereitenden Maßnahmen, die 3D-Diagnostik und die 3D-Planung des Zahnersatzes.
„Hand in Hand, alles unter einem Dach!“
Alle Spezialistinnen und Spezialisten in unserem Haus arbeiten für jeden Behandlungsfall als Team und sie bekommen eine Gesamtbehandlung, Hand in Hand, alles in einer Praxis. So können Sie sicher sein, dass die Behandlungsziele erreicht werden und auch über viele Jahre stabil bleiben. Die langfristige Betreuung durch unser Prophylaxezentrum ist eine wichtige Säule in diesem Therapiekonzept und gibt Ihnen die Sicherheit für eine hohe mundbezogene Lebensqualität.
„Unsere Erfahrung und Teamarbeit ist Ihre Sicherheit!“
Von der Einzelkrone bis zur komplexen Rehabilitation profitieren Sie von unseren bewährten, patientenzentrierten Behandlungskonzepten. Die zahntechnischen Arbeiten werden in unserem praxiseigenen Labor gefertigt. Insbesondere bei Ganzkieferrestaurationen, wie „all-on-four“ oder teleskop- und stegbasierten Restaurationen, werden wir darüber hinaus seit über 10 Jahren von einem der renommiertesten zahntechnischen Labore in Berlin unterstützt. Mit der Erfahrung von über 10.000 gesetzten Implantaten und Tausenden von prothetischen Versorgungen können wir Ihnen eine verlängerte Garantie auf Ihren Zahnersatz über die gesetzlich geforderten 2 Jahre hinaus gewähren.

