Endodontie
Der Begriff Endodont stammt aus dem Griechischen und bezeichnet das „Zahninnere“


Die Notwendigkeit einer endodontischen Therapie (Wurzelkanalbehandlung) ist dann gegeben, wenn sich die Pulpa entzündet oder abstirbt (Nekrose). Ursachen dafür sind häufig Karies, traumatische Verletzungen des Zahnes und undichte Restaurationen.
Durch das Eindringen von Bakterien in das Zahninnere wird das gesamte Kanalsystem des Zahnes infiziert. Die akute Phase der Entzündung läuft meist schmerzhaft ab. Weiterhin besteht die Möglichkeit, dass das Pulpengewebe schmerzfrei durch die Entzündung untergeht. Dabei können sich Bakterien ohne Gegenwehr des Immunsystems im inneren des Zahnes ausbreiten und den Kieferknochen entzünden. Wird die Entzündung nicht behandelt, entsteht an den Wurzelspitzen ein Abszess. Dieser wird von den Bakterien und ihren Endotoxinen (Botenstoffe) genährt und unterhalten.
Ziel der Wurzelkanalbehandlung ist es alle Bakterien und das infizierte Gewebe aus den Wurzelkanälen zu entfernen, das Wurzelkanalsystem zu desinfizieren und zuletzt bakteriendicht zu verschließen.
Die Wurzelkanalbehandlung ist die letzte Chance, den natürlichen Zahn zu erhalten. Andernfalls bleibt nur die Extraktion, also der Zahnverlust. Dann müssen, um die Funktionalität des Gebisses zu gewährleisten, aufwändigere Versorgungen (Brücke, Implantate) in Betracht gezogen werden.
Die Wurzelkanalbehandlung
Beratung und eingehende Untersuchung
Aktuelle Röntgenbilder sowie eine symptombezogene Untersuchung des zu behandelnden Zahnes sind Grundlage für unsere Beratung über Prognosen der Therapie, Behandlungsalternativen sowie Behandlungskosten.
Behandlungstermine
In der Regel benötigen wir pro Zahn zwei Behandlungstermine. Diese dauern je nach Zahn zwischen 1 und 2 Stunden. Eine individuelle Planung erfolgt am Beratungstermin.
Die Therapie
Der zu behandelnde Zahn wird vor dem Eingriff örtlich betäubt, so dass Sie von dem Eingriff nichts spüren. Während der Behandlung wird der Zahn durch ein Gummituch (Kofferdam) isoliert. Dies ermöglicht ein sauberes, übersichtliches Arbeiten und schützt Sie vor Instrumenten (Aspiration) und schlecht schmeckenden Spüllösungen. Die Wurzelkanalbehandlung wird mit Hilfe eines Dentalmikroskops durchgeführt. Durch die Vergrößerung ist es möglich feinste Strukturen des Wurzelkanalsystems einzusehen, aufzubereiten, zu desinfizieren und bakteriendicht zu verschließen.
Entscheidend für den Erfolg der Wurzelkanalbehandlung ist die komplette Aufbereitung und Desinfektion des gesamten Wurzelkanalsystems. Die Aufbereitung der Kanäle bis an die Wurzelspitze erfolgt mit Stahl-Feilen, Ultraschall und hochflexiblen Nickel-Titan-Feilen. Dabei finden neben Handfeilen auch maschinelle Aufbereitungssysteme (drehmomentgesteuerte Feilen) ihre Anwendung. Die Bestimmung der Arbeitslänge erfolgt elektrometrisch und wird während der gesamten Therapie gemessen und kontrolliert.
Die Desinfektion erfolgt mit verschiedenen Desinfektionslösungen, welche ultraschall-aktiviert in kleinsten Verästelungen des Wurzelkanalsystems und in tieferen Schichten des Zahns wirken können.
Sehr lange, enge oder verzweigte Wurzelkanäle sind keine Seltenheit und die Desinfektion ist mit einem höheren Aufwand verbunden. Ein Dentalmikroskop, die elektrometrische Längenmessung, sowie ein Ultraschallgerät mit unterschiedlichen Arbeitsinstrumenten sind für den Erfolg der Behandlung wichtige Hilfsmittel.
elektrometrische Längenbestimmung an einem Eckzahn
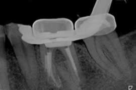
4. Kanal an einem Oberkiefer-Molaren

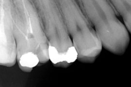
frakturiertes Instrument im Wurzelkanal

Darstellung des 4. Kanals an einem wurzelspitzenresizierten Molar während einer Revision

flexible Feile in einem gekrümmten Wurzelkanal

ultraschall-aktivierte Desinfektion / die Spüllösung dringt in die für Feilen unereichbaren Seitenkanäle
Spülung ohne Ultraschall/ Seitenkanäle und Verzweigungen werden nicht desinfiziert
Die Wurzelfüllung
Die Wurzelfüllung dient dem bakterien- und flüssigkeitsdichten Verschluss des Wurzelkanalsystems und ist neben der Desinfektion wichtiger Bestandteil der 2. Behandlungssitzung.
In den meisten Fällen wird der Zahn mit Guttapercha (ein kautschukähnliches Material) gefüllt. Durch Erwärmung lässt sich dieses Wurzelfüllungsmaterial fließfähig und sicher in alle Bereiche des aufbereiteten Kanalsystems applizieren. Als letzter Schritt wird der Zugang in der Zahnkrone mit einer bakteriendichten und stabilen Füllung verschlossen. So vorbereitet kann der Zahn wieder aufgebaut oder im Regelfall mit einer Krone versorgt werden.
Wurzelfüllung mit erwärmter Guttapercha/ Verzweigungen des Systems können bakteriendicht verschlossen werden

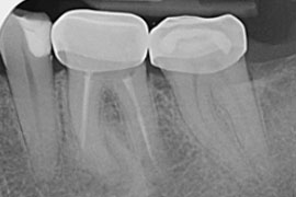
Zahn mit abgeschlossener Wurzelkanalbehandlung

postendodontische Versorgung eines Eckzahns mit Stiftaufbau und Krone
Revisionsbehandlung
Wurzelkanalbehandelte Zähne können grundsätzlich genauso lange wie nicht wurzelkanalbehandelte Zähne erhalten bleiben – im Idealfall also ein Leben lang. Da jedoch die Wurzelkanalbehandlung eine der kompliziertesten zahnmedizinischen Eingriffe darstellt, ist es möglich, dass eine Wurzelkanalbehandlung in einigen Fällen nicht den gewünschten Erfolg erzielt.
Um den betroffenen Zahn dennoch zu erhalten besteht die Möglichkeit eine erneute Wurzelkanalbehandlung, eine sogenannte Revisionsbehandlung, durchzuführen. Dies kann notwendig sein, wenn:
Die ersten Schritte der Behandlung werden wie bei der Erstbehandlung durchgeführt:
Der Zahn wird mittels eines Spanngummis isoliert, die Hohlräume werden aufgesucht und das vorhandene infizierte Füllmaterial wird entfernt. Dann erfolgt die erneute Reinigung, die bei einer Revisionsbehandlung oftmals schwieriger und zeitaufwändiger ist. Unter Berücksichtigung des Einzelfalles wird in das gereinigte Wurzelkanalsystem bis zum folgenden Termin vielleicht ein Medikament eingebracht. Zur Behandlung kann es nötig sein eine vorhandene Krone oder Brücke zu entfernen, um das Wurzelkanalsystem zu erreichen.
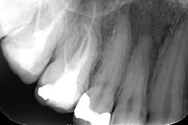
wurzelgefüllter Zahn mit Entzündung an der Wurzelspitze; zusätzlich ist eine abgebrochene Feile zu sehen
Die Wurzelbehandlung stellt in der Zahnmedizin eine Herausforderung für jeden Behandler dar. Mit der Einführung des Operationsmikroskopes und anderen Neuerungen wie Ultraschall und maschinellen Nickel-Titan-Feilen in der Endodontie ist es uns heute möglich auch Zähne mit komplexer Anatomie gut zu behandeln. Es besteht die Möglichkeit Zähne zu erhalten, die in der Vergangenheit als hoffnungslose Fälle extrahiert werden mussten. Die zeitaufwendige Behandlung fordert vom Behandler ein hohes Maß an Konzentration, Wissen und praktische Erfahrung. Um Ihnen die bestmögliche Therapie anbieten zu können bildet sich unser Kollege Michael Eichhorn im Bereich der Endodontie regelmäßig fort.
Behandlungsspektrum
Kosten der Behandlung
Die Mikroskop-geführte Wurzelkanalbehandlung übersteigt den wirtschaftlichen Rahmen der gesetzlichen Krankenkassen (wirtschaftlich, zweckmässige und ausreichende Versorgung). Die vor allem zeitaufwendige Therapie kann somit nicht rein über die Krankenkassen abgerechnet werden. Je nach individuellem Aufwand orientieren sich die Kosten an der Gebührenordnung für Zahnärzte (GOZ 2012).
Folgende Vorraussetzungen müssen für eine endodontische Behandlung als Vertragsleistung der gesetzlichen Krankenkassen erfüllt sein:
1. eine geschlossene Zahnreihe kann erhalten werden
2. eine einseitige Freiendsituation kann vermieden werden
3. funktionstüchtiger Zahnersatz kann erhalten bleiben
Auf Grund der unterschiedlichen Tarife und individuellen Regelungen mit den Kassen kann es auch bei Privatpatienten zu Eigenbeteiligungen kommen. Da die Wurzelbehandlung in der Zahnmedizin eine sehr individuelle Leistung darstellt, können Preise nicht pauschal benannt werden. Nach jeder eingehenden Beratung senden wir Ihnen auf Wunsch einen individuellen Heil- und Kostenplan.
Sollten Sie eine private Zusatzversicherung abgeschlossen haben, können je nach Vertrag anfallenden Kosten von dieser übernommen werden.
Ihre Vorteile auf einen Blick
Informationen für Kollegen
Überweisungen:
Nach telefonischer Rücksprache können Notfallbehandlungen übernommen werden.
Bei Überweisungen führen wir nur Maßnahmen der endodontischen Behandlung im Rahmen Ihres Therapieplanes durch.
Vorgehen:
Vorstellung des Patienten zum Beratungsgespräch/ Erstvorstellung.
Zu diesem Termin sollte ein aktuelles Röntgenbild/ Einzelbild mitgegeben werden. Es erfolgt eine ausführliche Beratung zur endodontischen Therapie und die Aufstellung eines individuellen Heil- und Kostenplans.
Nach erfolgter Therapie erhalten Sie alle Röntgenbilder und einen Behandlungsbericht.
1. Entfernung von 2 Fragmenten aus mb1
2. Revision und Perforationsdeckung bei via falsa












